急に物忘れがひどくなったら要注意|ぼーっとする原因と今すぐ受診すべき危険サイン【医師解説】

「最近、急に物忘れが増えた」「ぼーっとして様子がおかしい」 ご家族のそんな変化を「年のせい」と諦めていませんか?
実はその症状、放置すると歩行困難や寝たきりになる恐れがある危険なサインかもしれません。しかし同時に、適切な治療で劇的に改善する「治る認知症(慢性硬膜下血腫)」の可能性も高いのです。
脳神経外科専門医として、手遅れになる前に知っておいてほしい「見分け方」と「実際の回復事例」をわかりやすく解説します。
【30秒判定】見逃せない「5つの異変」チェックリスト
以下の症状がここ1ヶ月で目立ってきた場合、脳が物理的に押されている可能性があります。「様子がおかしい」「急にひどくなった」と感じたら特に注意が必要です。
[ ] 急に物忘れがひどくなった(日付や約束を忘れる)
[ ] ぼーっとして反応が鈍い(会話がかみ合わない、無気力)
[ ] 歩き方がふらつく(足がもつれる、よく転ぶ)
[ ] 片側の手足に力が入らない(左右どちらかの動きが悪い)
[ ] ろれつが回らない(発語が少ない)
⚠️ ご注意ください これらの症状は、自然に様子を見ていても改善するケースは少なく、放置はおすすめできません。 1つでも当てはまる方は、当日〜早めの検査をおすすめします。ご家族のみのご相談も承っております。
【目次】
1. 急に物忘れ・ぼーっとする原因「慢性硬膜下血腫」とは?
慢性硬膜下血腫は、脳を包む「硬膜」の内側に血液がじわじわと溜まり、脳を圧迫する病気です。
なぜ「治る認知症」と言われるのか
アルツハイマー病などの進行性認知症と違い、この病気は「脳を圧迫している原因」を取り除くだけで、症状が劇的に改善・消失します。 実際に当院でも、「認知症が進んで会話が成立しなかった方が、治療後に笑顔で歩いて帰宅された」というケースは珍しくありません。
▶関連記事:脳萎縮?あなたの生活はどう変わるのか(初期症状・進行・MRI診断)
【20代〜50代の方へ】
若年層の物忘れはストレス等が多いですが、「頭をぶつけた記憶がある」「急激に悪化している」場合は、年齢を問わずこの病気の可能性があります。
急性硬膜下血腫との違い
慢性硬膜下血腫が数週間~数ヶ月かけて症状が出るのに対し、急性硬膜下血腫は、重度の頭部外傷の直後に、脳を覆う太い血管から出血し、数時間以内に直ちに意識障害や命に関わる状態を引き起こす、極めて緊急性の高い病態です。慢性硬膜下血腫は急性と比べて症状の出方が緩やかである点が大きな特徴です。
2. なぜ突然悪化する?「昨日まで普通だった」の正体
物忘れが急に進行したように見えるのはなぜか
血腫は数週間かけてじわじわ大きくなります。脳にはわずかな隙間があるため初期は無症状ですが、圧迫が限界を超えた瞬間に症状が一気に表面化します。これが「急に認知症が進んだ」ように見える怖さです。
そのため、周囲からは「昨日まで元気だったのに、急に物忘れがひどくなった」「急に認知症が進んだ」ように見えるのがこの病気の怖さであり、特徴です。
頭をぶつけた覚えがなくても発症する理由
慢性硬膜下血腫は、原因となる出来事の自覚に個人差があるのが特徴です。 「そういえば、1ヶ月前に転んだ」と思い当たる節がある方もいれば、一方で「全くぶつけた記憶がない」という方も珍しくありません。
なぜ、記憶に残らないほど些細な出来事が原因になってしまうのでしょうか。それには、高齢者特有の脳の状態が関係しています。
- 脳が揺れると、血管が「ブチッ」と切れてしまう
- 脳の表面と頭蓋骨の内側は、細い血管の「糸」で何本かつながっています。脳が縮んで隙間ができると、この血管はピンと突っ張った、ゆとりのない状態になってしまいます。
すると、ふとした拍子に脳が頭の中でガクンと揺れたとき、その動きに血管が耐えきれず、突っ張った糸が切れるようにプツンと破れて出血してしまうのです。
- 脳の表面と頭蓋骨の内側は、細い血管の「糸」で何本かつながっています。脳が縮んで隙間ができると、この血管はピンと突っ張った、ゆとりのない状態になってしまいます。
- 「大したことのない衝撃」でも切れてしまう
- 血管が限界まで突っ張っているため、病院へ行くほどではない「日常のちょっとした衝撃」だけで、血管がプツンと切れてしまうことがあります。
転んで尻もちをついた(直接頭を打っていなくても、衝撃が脳に響く)
棚の角に頭をコツンとぶつけた
乗り物で急ブレーキがかかり、頭がガクンと揺れた
このように、「怪我」というほどではない日常の振動が原因になるため、「まさか、あの程度のことが原因だなんて」と後から驚かれるケースが多いのです。
⚠️ 特に注意が必要な方(ハイリスク群)
以下の条件に当てはまる方は、より少ない衝撃で発症しやすく、出血が止まりにくい傾向があります。ご自身やご家族が該当しないかチェックしてみてください。
- 足腰が弱く、ふらつきがある
- 無意識のうちに壁に体をぶつけたり、尻もちをついたりして、微細な衝撃を繰り返している可能性があります
- 血液をサラサラにする薬を飲んでいる
- 脳梗塞や心疾患の予防で、バイアスピリンやワーファリンなどを服用中の方
- お酒を毎日たくさん飲む(多量飲酒)
- アルコールは脳の萎縮を早め、さらに血液を固める力を弱めてしまいます
慢性硬膜下血腫の症状(認知・運動・言語)
以下にあげる症状がここ1ヶ月位で徐々に進行している場合は、決して「歳のせい」にせず、脳神経外科での診断を受けるべきサインです。
1. 認知症に似た症状(最も多い)
- 急に物忘れがひどくなった: 新しいことを覚えられない、日付や約束を忘れるなど。
- ぼんやりして反応が遅い: 会話がかみ合わない、質問への返答に時間がかかるなど。
- 意欲の低下: 高齢者のぼんやりとした状態、無関心・無気力になり、一日中寝ている時間が増える。
2. 高齢者の歩き方の変化(ふらつき・転倒)
- 歩行障害: まっすぐ歩けない、足がもつれる、ふらついてよく転びそうになる。
- 片麻痺(かたまひ)の初期: 片足の動きだけ悪い(左右どちらか半身の動きが悪くなること)など、脳の圧迫による症状であることも多いです。
3. 手足の麻痺・しびれとその他の症状
- 手足の麻痺・しびれ: 体の左右どちらかが重い、力が入りにくいなど。
- 頭痛: ズキズキとした頭痛を訴えることがありますが、高齢者では自覚しないケースも少なくありません。
- 言葉の障害(ろれつが回らない): 発語が少ない、ろれつが回らない(脳卒中と勘違いされやすい)。
3. 画像で見る:劇的な治療効果(MRI・CT検査)
診断にはMRIやCT検査が不可欠です。当院ではMRI検査で、脳の状態を即座に確認します。「MRIは時間がかかる?」「狭い場所が苦手」という不安をお持ちの方は、以下のガイドをご覧ください。
👉 [MRI検査の流れを完全解説|検査前の準備・当日の手順・注意点]
けやき脳神経リハビリクリニック:Googleマップはこちら
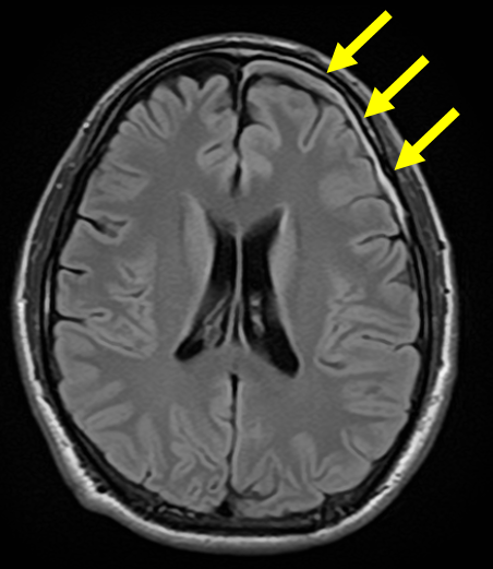
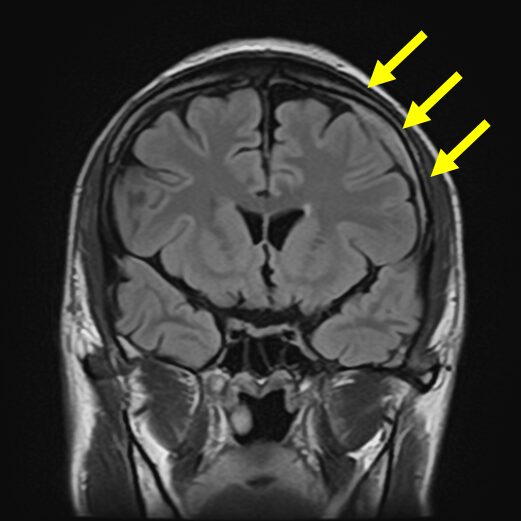
慢性硬膜下血腫の典型的な画像
頭痛を主訴とした若い患者さんの慢性硬膜下血腫の例
高齢者と異なり、頭痛が主要な症状として現れることがあります。この画像では、頭蓋骨の内側に少量の血腫が確認できます。


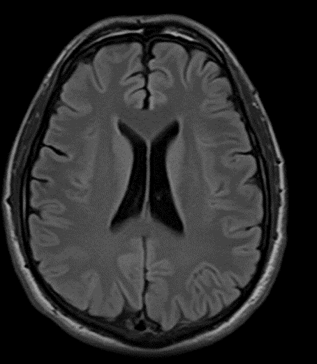
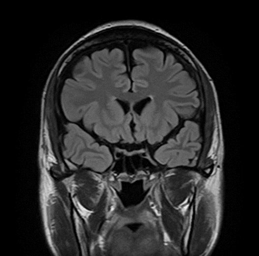
先ほど示した症例の経過観察後のMRI画像


血腫の量が少ない&症状が軽微の場合は外来通院治療でも治癒することが多い
急性硬膜下血腫と異なり、じわじわと血液が滲み出してくる慢性硬膜下血腫は、安静に過ごすことでまた自然と吸収してくれることがあります。
血腫の量が少なく、かつ症状が軽い場合は、経過観察の方針となります。通常、以下のように指導を行います。
・なるべく安静に過ごす
重いものを持ったり、力む、頭をゆらすようなことを控える。 (走らない、自転車に乗らない)
日常生活や、オフィスワークは可能。
・内服薬開始
症状の改善を期待して、漢方の五苓散やユベラ、トランサミンなどを処方することがあります。
・2~4週間で経過観察・画像フォロー
症状が悪化する場合は、予約を待たずにすぐに再来をしてもらいます。
症状の悪化がなければ、2~4週間後に再来していただき、画像フォローを行います。
血腫の増大があるようなら手術を検討致します。改善傾向にあればそのまま経過観察を続けます。
4. 手術の安全性と回復の見込み
血腫量が多く、症状が強く出ている場合には手術により原因となる血腫を除去します。
手術療法:穿頭(せんとう)ドレナージ術とは?
手術は局所麻酔で行います。おおよそ30分から1時間程度の手術であり、身体への負担が少なく、高齢者でも比較的安全に行うことができます。
頭蓋骨に小さな穴(1〜2cm)を開け、チューブで血腫を排出します。

| 情報項目 | 詳細 |
|---|---|
| 症状改善期間 | 血腫除去後、速やかに症状が改善することが多い。 |
| 入院期間 | 経過が良ければ2泊3日〜1週間程度の短期入院。 |
| 再発リスク | 10%程度で再発が知られており、術後も経過観察が必要。 |
治療後の改善:認知機能も歩行も回復することが多い
手術が成功し、脳の圧迫が取り除かれることで、急に物忘れが進んだ症状や歩行障害などの症状は速やかに改善に向かうことが期待されます。
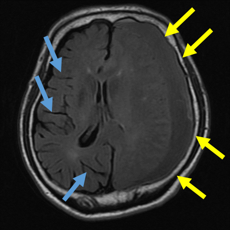
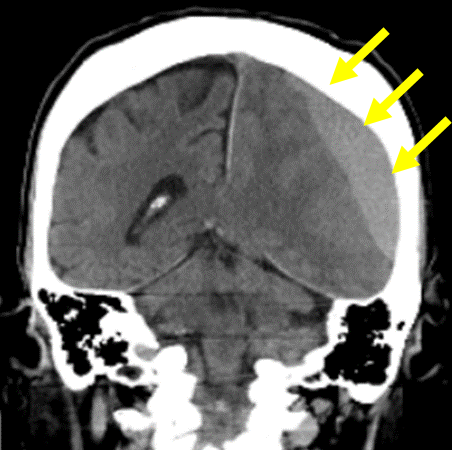
ボーっとしている・歩行ふらつきを認め受診した例
一カ月前に転倒し頭部打撲。転倒当日CT検査を行い異常なし。転倒から一カ月後から返答がうわのそら、さらに歩行時のふらつきが目立つようになり受診

→に血腫を認める。血腫による圧迫により健常側に見られる脳のしわ(→)が潰れている。

→に厚い血腫を認める
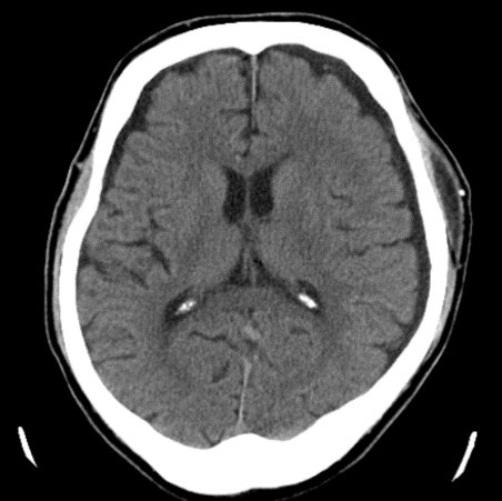
穿頭(せんとう)血腫除去術後

血腫は除去されている

血腫は除去されている
術後から症状は改善され、退院。
5. よくある質問(FAQ)
慢性硬膜下血腫の手術は痛いですか?高齢でも耐えられますか?
手術は局所麻酔で行われるため、痛みはほとんどありません。全身麻酔のような身体への負担も少ないため、高齢の方でも比較的安全に受けていただくことが可能です
慢性硬膜下血腫は薬で治すことはできませんか?
腫がごく少量で症状がない場合は、漢方薬(五苓散など)で吸収を待つこともあります。しかし、認知症状や歩行障害が出ている場合は、手術で圧迫を取り除くことが最も確実で早い改善につながります。
認知症と診断されていますが、検査する意味はありますか?
大きな意味があります。「認知症」と診断されていても、実は慢性硬膜下血腫が併発していて、症状を悪化させているケースがあるからです。その場合、血腫の治療によって症状が軽くなる可能性があります。
6. 違和感は「命と生活を守るサイン」です
「急に物忘れが増えた」「最近様子がおかしい」
――こうした変化は、本人より家族が先に気づく“命を守るサイン”です。
慢性硬膜下血腫は早期に治療すれば、元の生活を取り戻せる“治る認知症”です。 心当たりがあれば、「治る病気かもしれない」という希望を持って、迷わず脳神経外科を受診し、MRI/CT検査を受けてください。
当院では慢性硬膜下血腫の診断、及び軽微な場合の保存的加療・経過観察が可能です。手術が必要になった場合には近隣の手術ができる病院へ責任を持ってご紹介致しますので、お気軽にご来院ください。
監修医師プロフィール
監修:林 祥史 院長
私立灘高校卒/東京大学医学部医学科卒
けやき脳神経リハビリクリニック 院長 (東京都 目黒区)
Googleマップはこちら
資格・所属学会
【資格】 日本脳神経外科学会認定 脳神経外科専門医、日本脳血管内治療学会認定 脳血管内治療専門医
【所属学会】 日本脳神経外科学会、日本脳血管内治療学会、日本脳卒中学会、日本リハビリテーション医学会、日本頭痛学会、日本めまい平衡医学会、American Academy of Family Physicians、Cambodian Medical Association