【子宮・卵巣MRI検査】何がわかる?子宮筋腫・卵巣嚢腫の「なぜMRIが必要か」を徹底解説!

婦人科でMRI検査を勧められて不安に思っていませんか?
「子宮に何かあると言われた」「卵巣のう胞が見つかった」「がんの疑いがある」といった理由で、MRI検査を勧められると、誰でも心配になるものです。
この記事では、子宮や卵巣の精密検査としてMRIが必要な理由、具体的に何がわかるのか、そして実際の検査の流れについて、専門的な内容を分かりやすく解説します。
目次
婦人科でMRI検査を勧められたのはなぜ?子宮・卵巣MRIが必要な理由
超音波(エコー)検査やCT検査でも、子宮や卵巣の状態をある程度把握できますが、より正確な診断のためにはMRIが非常に有効です。エコーやCTでは見えづらい部分も、くっきり鮮明に描出できます。エコーやCTではなくなぜ子宮の検査にMRIが必要なのか、その理由を詳しく説明します。
特に以下のような場合、MRI検査が大きな役割を果たします。
1. 子宮筋腫のMRI:筋腫の位置、種類、悪性(肉腫)との鑑別
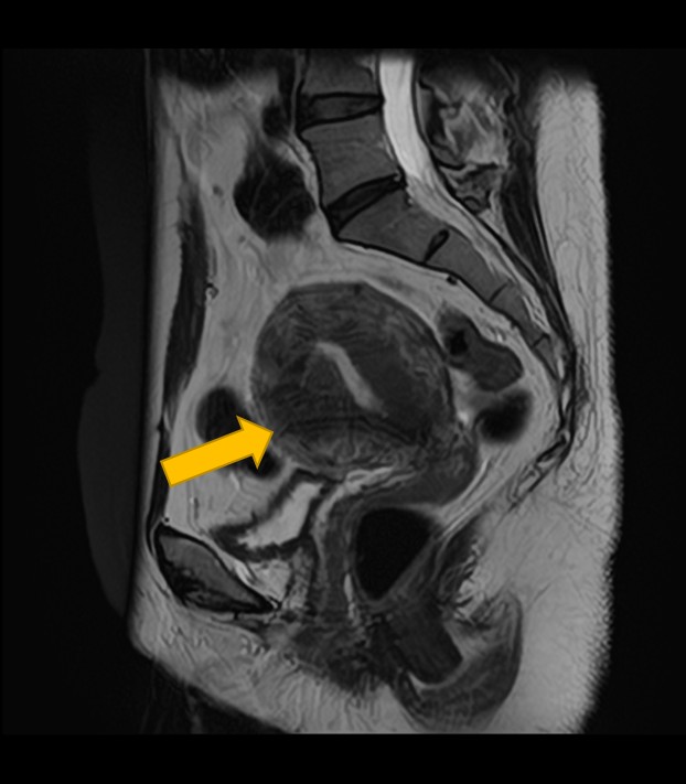
子宮筋腫の数、大きさ、正確な位置、子宮の筋肉(筋層)との関係、さらには筋腫の種類(粘膜下筋腫、筋層内筋腫、漿膜下筋腫など)を詳しく評価します。
手術が必要な場合の術前情報として不可欠なだけでなく、子宮肉腫など悪性腫瘍との鑑別にも役立ちます。


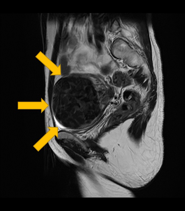
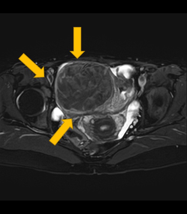
2. 卵巣腫瘍(嚢腫)のMRI:良性・悪性を判断する「中身」と「充実部分」の評価
卵巣嚢腫の中身が液体、脂肪、血液など何であるか、嚢腫壁の性状(肥厚、隔壁の有無)、充実部分の有無や血流を評価することで、良性か悪性(がん)かの可能性を判断する重要な手がかりとなります。


3. 子宮内膜症・腺筋症のMRI:病変の広がりと周囲臓器への浸潤・癒着を把握
卵巣にできるチョコレート嚢胞の内部性状や、子宮腺筋症の広がり、さらに深部子宮内膜症による周囲臓器(腸管、膀胱など)への浸潤や癒着の程度まで詳細に把握できます。


4. 子宮体がん・子宮頸がんの進行度診断
がんの大きさ、子宮筋層への浸潤度合い、子宮の周囲への広がり、さらにはリンパ節転移や遠隔転移の有無まで多角的に評価し、病期診断に貢献します。
5.その他の役割
- 手術前の詳細な情報収集
- 病変の正確な位置や広がりを把握することで、手術計画をより緻密に立てることができ、安全で確実な手術をサポートします。
- 骨盤内炎症性疾患(PID)の診断補助
- 卵管炎や卵管膿瘍など、骨盤内の炎症性疾患における微細な変化を評価し、診断や治療方針の決定に役立ちます。
子宮・卵巣MRIが「骨盤内」を鮮明に映し出す仕組みとメリット
MRI(磁気共鳴画像)は、強い磁場と電波を使って身体の内部を断面図のように映し出す検査です。MRIはX線を使用しないため、放射線被ばくの心配がなく、繰り返し検査を受けることも可能です。特に骨盤領域(=婦人科領域)はMRIが最も得意とする分野の一つです。
その理由は、MRIが軟部組織(子宮・卵巣など)の描出を得意としているからです。また、縦・横・斜めなど様々な方向からの断層画像が得られるため、病変の内部性状(水、脂肪、血液など)の識別にも優れています。
必要に応じて造影剤を使用することで、病変の血流状態も評価でき、良性・悪性の判断に役立ちます。
つまり、MRIなら「どこに、どのような病変が、どのくらいの広がりで存在しているのか」を、まるで地図を広げるように詳細に確認できるのです。
婦人科MRIでわかる代表的な病気と検査のポイント
以下のような病気は、MRIを使うことで「より詳しく」「客観的に」評価することが可能です。これが子宮・卵巣MRIでわかることの全体像です。
| 疾患名 | MRIでわかること |
|---|---|
| 子宮筋腫 | 筋腫の数・大きさ・位置、筋腫の種類(漿膜下、筋層内、粘膜下)、悪性との鑑別補助。変性や出血の有無。 |
| 子宮内膜症・ チョコレート嚢胞 | 卵巣内の出血性病変(チョコレート嚢胞)の内部性状、子宮腺筋症の広がり、深部子宮内膜症による腸管や膀胱への浸潤、骨盤内臓器の癒着の程度。 |
| 卵巣嚢腫 | 嚢腫の中身(液体・脂肪・血液など)、壁の厚さ、隔壁や充実部分の有無、内部の血流評価による良悪性の可能性。 |
| 子宮体がん・ 子宮頸がん | 腫瘍の大きさ、子宮筋層への浸潤度、周囲への広がり、リンパ節転移や遠隔転移の有無、病期診断。 |
| 骨盤内炎症・膿瘍 | 感染の範囲、卵管の拡張や肥厚、卵巣・卵管膿瘍の形成、周囲臓器との関係、腹腔内膿瘍の有無と広がり。 |
子宮・卵巣MRI検査の所要時間と流れ:痛みは?どこまで入る?
「検査って何をするの?」「痛みはある?」といった不安を抱えている方も多いでしょう。
子宮・卵巣MRI検査は、おおよそ15〜20分程度で完了します。検査に伴う痛みはなく、身体を動かさずに寝ているだけで撮影が可能です。
検査中の体勢と装置に入る位置について
MRI装置は筒状の形をしています。子宮・卵巣の検査では、ベッドに仰向けに寝ていただき、足から装置に入ります。検査の目的部位(骨盤)が筒の中心にくるように調整するため、頭は装置の外に出た状態になります。閉所が苦手な方も、比較的安心して受けていただける撮り方です。

検査を受ける際の注意点と流れ
検査着への着替え:検査に支障がないよう、金具のない検査着に着替えていただきます。
金属類の除去:強力な磁場を使用するため、アクセサリー、時計、補聴器、入れ歯、ヘアピンなど、すべての金属類を外していただきます。ペースメーカーや人工内耳、一部のインプラントなどを装着されている方は必ず事前にお申し出ください。
検査室へ移動:ベッドに仰向けに寝ていただき、骨盤部にコイルと言う機械を乗せて軽く固定します。


検査開始:円筒状のMRI装置の中に入っていただきます。
検査中の音:検査中は「ゴンゴン」「ウィーン」といった大きな音が鳴りますが、耳栓やヘッドホンを使用し、音を軽減できます。ご不安がある場合は遠慮なくスタッフにお声がけください。
当院では、患者様が安心して検査を受けられるよう、スタッフが丁寧にご案内いたします。
当院で婦人科MRI検査を受ける強み
「脳神経外科クリニックで婦人科MRI?」と疑問に思われるかもしれませんが、当院では最新の高性能MRI装置を導入しており、質の高い婦人科MRI検査を提供しています。
- 高性能1.5テスラMRI装置を導入
- 大学病院などで広く使われている1.5T(テスラ)MRIを導入しており、骨盤領域の描出に適した撮像法を駆使して、腫瘍の位置や性状を高精度に評価します。
- 画像の読影は放射線科医が担当
- 撮影されたMRI画像は、画像診断のプロである放射線科医が専門的な視点で読影(画像を分析して診断すること)し、所見をまとめたレポートを作成します。このレポートを患者様をご紹介いただいた婦人科医の先生にお渡しするため、より詳細で専門的な診断につながります。
- 地域の婦人科クリニックと連携
- ご紹介元の婦人科クリニックと密に連携し、紹介状をもとに必要な検査内容を確認します。検査結果はかかりつけの婦人科医にて行われるため安心です。
MRIは治療方針を決めるための「決定的な情報源」
婦人科の疾患は、外から見えない部分で進行することが多く、不安を抱えて来院される方も少なくありません。
正確な診断を行い、適切な治療へつなげるためには、「見えないものを見えるようにする技術」=MRI検査が欠かせない存在です。
MRIは、子宮筋腫や卵巣嚢腫の診断において、良性か悪性かの鑑別、そして手術の要否や治療方針を決めるための、まさに「決定的な情報源」となります。
当院では、婦人科のかかりつけ医と連携しながら、精度の高いMRI検査を安心して受けられる環境をご提供しています。
婦人科の先生からMRIを勧められた際は、どうぞ安心して当院にお越しください。
クリニック情報
けやき脳神経リハビリクリニック
院長:林 祥史(・日本脳神経外科学会認定 脳神経外科専門医・日本脳血管内治療学会認定 脳血管内治療専門医)
所在地:東京都目黒区下目黒2-14-13下目黒HAPPYビル1~3階(受付2階)
診療科目:脳神経外科・リハビリテーション科・内科
検査設備:MRI、レントゲン、超音波など
公式サイト:https://keyaki-nrc.com/